矯正歯科
矯正治療で口元の表情が変わることがあります!(審美的な悩みを軽減する歯科矯正治療)
![]()
--- 初診 矯正歯科相談 受付中 (完全予約制)---
☆【松本淳:日本歯科専門医機構認定の 矯正歯科専門医】による 約1時間 の矯正相談☆ 症状に対する十分な説明を受けていただくには、
"1時間程" の日本歯科専門医機構認定の 矯正専門医:松本淳による相談をお勧めします。
* 初診の方 ---> 是非ご相談ください。*
Q.何故?矯正歯科専門の医療機関を選ぶ必要があるのか?
A.-- 専門的な矯正治療を受けるためには、【教育されたスタッフ そして 設備】などの院内体制も充実した医療機関であるべきだからです。
矯正歯科治療は非常に専門性の高い医療で、一般的に歯科大学を卒業した後に、
さらに大学に常勤で残り、十分な矯正治療の修練を積んだ矯正専門の先生が治療にあたります。
現在の日本歯科専門医機構認定の矯正専門医になるためには、最短で歯科大学に入学してから、矯正専門医院で常勤勤務経験【19年】必要なのです。
歯列矯正とは、単に歯並びを良くするだけではありません。
相談→検査→診断→治療(装置装着)→保定:2年間(検診)
矯正専門の認定医療機関では、下記の検査診断をしています
(すなわち、患者様が矯正歯科を選ぶ基準です)
歯ならびをよくしたい!!
矯正歯科学とは、歯並びや顎の正常な発育を誘導する学問です。
きれいな歯ならびは、美しさだけではなく、咬み合わせによる全身への影響
(消化器系への負担軽減など)や歯の寿命にとっても重要なことです。
当医院では矯正専門の研修認定施設に登録される上で必要な器械を有し、必要な検査を行っています。
・当院では、1993年から矯正歯科治療を専門に行う歯科医師から、十分な説明を受けた上で治療に入ります。

・矯正歯科治療を専門に行う歯科医院でしかやらない咬合診査
・かみ合わせ(歯並び)
・顔のゆがみ
・虫歯と歯槽濃漏
--専門的な矯正治療は、【教育されたスタッフ そして 設備】などの環境が整った医療機関で受けるべきだからです--
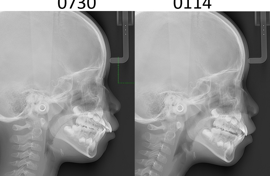
①①レントゲン写真:頭部X線規格写真(セファログラム)など検査をしている
患者さんの顎顔面の成長バランスや成長方向、量の予測をするために不可欠な検査です。
フェイスボートランスファーをした咬合器付着模型による咬合診査をしている。
顎機能検査をしている
②上記精密検査を実施し、それを分析・診断した上で治療をしている
③治療計画、治療費用について詳細に説明をしている
それぞれの患者さんに適した治療装置とその効果,治療期間、第一期治療・第二期治療
保定、後戻りの可能性や治療のメリット・デメリットおよび抜歯・非抜歯について説明を行います。
④長い期間を要する治療中の転医、その際の治療費精算まで説明をしている
治療中の転医した際の治療費清算までの規定がある
⑤常勤の矯正歯科医がいる(矯正歯科医として、資格がある専門歯科医師であるかをご確認ください)
治療期間が長期に及ぶため、治療の進行具合の記録があり、説明をしてくれている
⑥専門知識がある衛生士、スタッフがいる
あなたのお口の中を総合的に診査します。
当院では、1993年から矯正歯科治療を専門に行う歯科医師が治療を行います。
安心してご相談してください。
歯ならびをよくしたい!!
成長期(6-9歳)の混合歯列期の矯正治療
第一期治療
大人が使う装置と違って、以下の利点があります。
子供には、歯の生える時期に、顎が大きくなる能力があります。
しかしながら、子供の歯並びの時期に、何らかの要因で顎が大きくなれずに歯のでこぼこができてしまう子供がいます。
子供の頃の歯並びはすごくきれいだったのに!というお子様ほど症状はひどくなる傾向があります。
骨の柔らかい子供の時期だからこそ、不正咬合を予防しておく必要があります。小児には、簡単にできる小児矯正があります。
適応時期は、歯がはえてくる頃で顎が大きくなる時期が最適です。
歯がはえ終わり、骨の形が出来上がってしまってからですと、決まってしまった骨の形の中で歯を移動させなくてはなりません。
その他、成長期(第一期治療)における治療の利点は、以下の点です。
1) 取り外しができる装置が多い。(食事や歯磨きのときはずし、1日12-15時間使用する)
2) 痛みは軽度です。(お母様に1週間に1回ほどネジを回していただきます。)
3) 顎の骨のアンバランスを改善することができます。
4) お顔の輪郭(骨の形)を整形的な力をかけることができます。
5) 大人の歯を抜く可能性が減ります。
6)歯並びが悪く、虫歯や歯周病になりやすかった環境を改善します。
7)噛み合わせの悪さを修正します。
8)かみ合わせを整え、不正咬合を予防したい、とお考えの方、是非ご相談ください。
※成人歯科治療において、歯並びと歯周病・口臭とは深い関係があります。
小児の反対咬合(受け口)

・診断:下顎前突
・年齢:5歳
・使用した主な装置:急速拡大装置:取り外し不可:
上顎前方牽引装置:取り外し可能:
リンガルアーチ:取り外し可能:
・抜歯部位:なし
・治療期間:36か月
・通院回数:40回
・費用の目安:矯正料金として40万+税金。診断料金6万5千円+税金。調整処置料金:月3000円+税金を40回で12万円+税金。総額 643.500円
リスク・副作用:
・上顎骨を拡大する際に、取れない装置を約半年間~1年使用します。
・上あごを前方に牽引するために、自宅で毎日夜間に使用する装置を使用します。
・歯が動く際に、歯のゆれを痛みとして感じることがあります。
・根の吸収が起きることがあります。
・保定をしないと後戻りが起きることがあります。
小児の上顎前突(出っ歯)
成長期に用いられる機能的な可撤式矯正装置

・診断:上顎前突
・年齢:8歳
・使用した主な装置:機能的な矯正歯科装置(取り外し可能)
・抜歯部位:なし
・治療期間:22か月
・通院回数:22回
・費用の目安:矯正料金として40万+税金。診断料金6万5千円+税金。調整処置料金:月3000円+税金を22回で6万6千円+税金。総額 584.100円
リスク・副作用:
・前歯の位置を後退させるために毎日10時間~家で装置を使用します。
・歯が動く際に、歯のゆれを痛みとして感じることがあります。
・根の吸収が起きることがあります。
・保定をしないと後戻りが起きることがあります。
小児の上顎前突(出っ歯)
成長期に用いられる機能的な可撤式矯正装置

・診断:上顎前突
・年齢:7歳5ヵ月
・使用した主な装置:機能的な矯正歯科装置(取り外し可能)
・抜歯部位:なし
・治療期間:12ヵ月
・通院回数:12回
・費用の目安:矯正料金として40万+税金。診断料金6万5千円+税金。調整処置料金:月3500円税込を12回で4万2千円。総額 553.500円
リスク・副作用:
・前歯の位置を後退させるために毎日10時間~家で装置を使用します。
・歯が動く際に、歯のゆれを痛みとして感じることがあります。
・根の吸収が起きることがあります。
・維持・保定をしないと後戻りが起きることがあります。
一般的なリスクや副作用について
矯正歯科治療に伴う一般的なリスクや副作用について
矯正歯科治療に伴う一般的なリスクや副作用について
矯正歯科治療に伴う一般的なリスクや副作用について
Q-01 どのようなリスクがあるのですか?
回答:
① 最初は矯正装置による不快感、痛み等があります。数日間~1、2 週間で慣れることが多いです。
② 歯の動き方には個人差があります。そのため、予想された治療期間が延長する可能性があります。
③ 装置の使用状況、顎間ゴムの使用状況、定期的な通院等、矯正治療には患者さんの協力が非常に重 要であり、それらが治療結果や治療期間に影響します。
④ 治療中は、装置が付いているため歯が磨きにくくなります。むし歯や歯周病のリスクが高まります ので、丁寧に磨いたり、定期的なメンテナンスを受けたりすることが重要です。また、歯が動くと 隠れていたむし歯が見えるようになることもあります。
⑤ 歯を動かすことにより歯根が吸収して短くなることがあります。また、歯ぐきがやせて下がることがあります。
⑥ ごくまれに歯が骨と癒着していて歯が動かないことがあります。
⑦ ごくまれに歯を動かすことで神経が障害を受けて壊死することがあります。
⑧ 治療途中に金属等のアレルギー症状が出ることがあります。
⑨ 治療中に「顎関節で音が鳴る、あごが痛い、口が開けにくい」などの顎関節症状が出ることがあります。
⑩ 様々な問題により、当初予定した治療計画を変更する可能性があります。
⑪ 歯の形を修正したり、咬み合わせの微調整を行ったりする可能性があります。
⑫ 矯正装置を誤飲する可能性があります。
⑬ 装置を外す時に、エナメル質に微小な亀裂が入る可能性や、かぶせ物(補綴物)の一部が破損する可能性があります。
⑭ 装置が外れた後、保定装置を指示通り使用しないと後戻りが生じる可能性が高くなります。
⑮ 装置が外れた後、現在の咬み合わせに合った状態のかぶせ物(補綴物)やむし歯の治療(修復物)などをやりなおす可能性があります。
⑯ あごの成長発育によりかみ合わせや歯並びが変化する可能性があります。
⑰ 治療後に親知らずが生えて、凸凹が生じる可能性があります。加齢や歯周病等により歯を支えている骨がやせるとかみ合わせや歯並びが変化することがあります。その場合、再治療等が必要になる ことがあります。
⑱ 矯正歯科治療は、一度始めると元の状態に戻すことは難しくなります。
*使用する装置(可撤式or固定式)、年齢などによっても感じ方が変わります。
- 矯正歯科治療メニュー
- E-ライン
- でこぼこ
- 受け口
- 出っ歯
- 開咬
- 過蓋咬合
- 小児矯正
- 3歳児からの歯列矯正用咬合誘導装置
- 外科手術矯正(顎変形症)
- 舌側矯正:リンガルブラケット矯正法
- 歯科矯正用アンカースクリューを用いた矯正歯科治療
- 一般的なリスクや副作用について


<休診日> 月曜・木曜・第2日曜日
平日の矯正歯科は、17時00分まで。平日の一般・セラミック歯科は13時まで。
※ セラミック歯科:時間限定特別にて割引あり(セレック) ※
日曜日・祝日は矯正歯科のみです。
あらかじめ、電話でご予約をしてからご来院ください。他の矯正患者様のご予約があるので、飛込みでの診察はできません。

京浜急行 杉田駅 から徒歩1分
西口エレベータを降りて徒歩1分・
約80mです。
京浜急行:横浜駅から14分
JR横浜駅から16分
JR新杉田駅 徒歩10分
シーサイドライン新杉田駅 徒歩10分
首都高湾岸線 浜の杉田ICから5分
横浜横須賀道路 横浜の港南台ICから10分
1階の診察室前に駐車場3台完備。
- 磯子からお越しの方へ
- 洋光台からお越しの方へ
- 上大岡からお越しの方へ
- 金沢文庫からお越しの方へ
- 能見台からお越しの方へ
- 富岡からお越しの方へ